Skip to content

Bonding

A versatile procedure that can target many dental imperfections, including chips, cracks, discoloration or staining, minor gaps, and inconsistent tooth sizes or shapes.
before after
before after
before after

Orthodontics

Clear aligners are a convenient alternative to braces. They are nearly invisible and do not require you to change your eating habits.
before after
before after

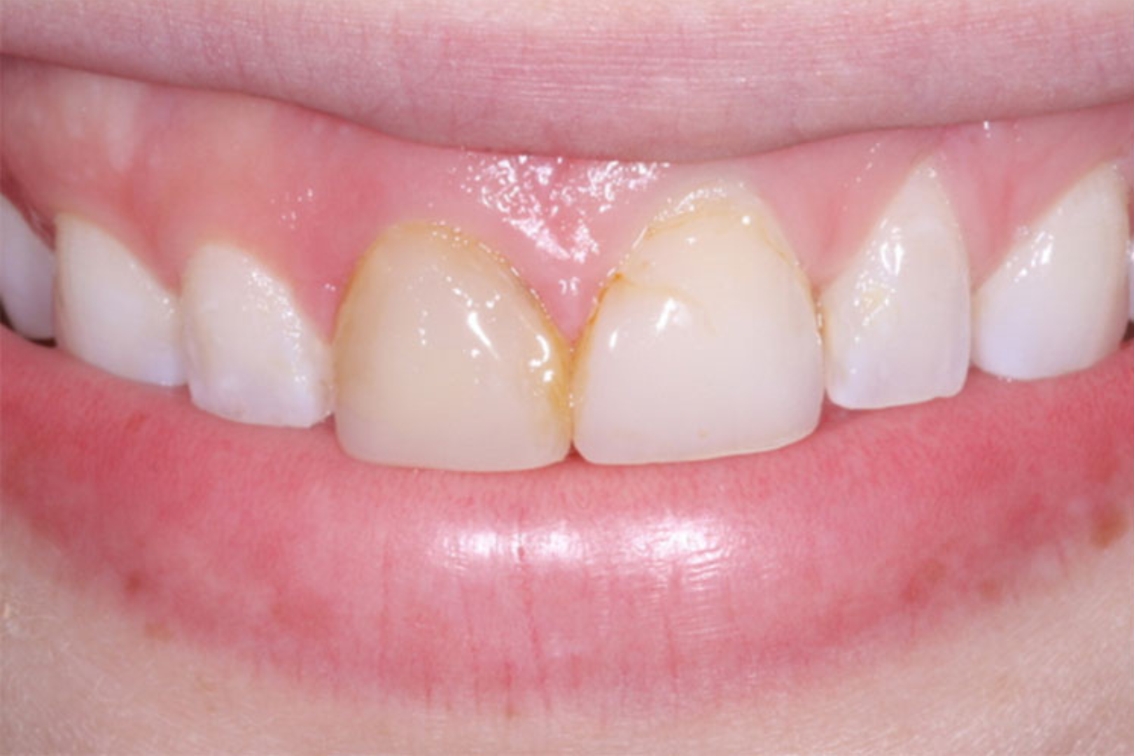
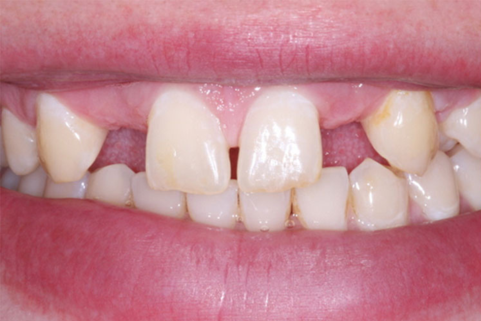
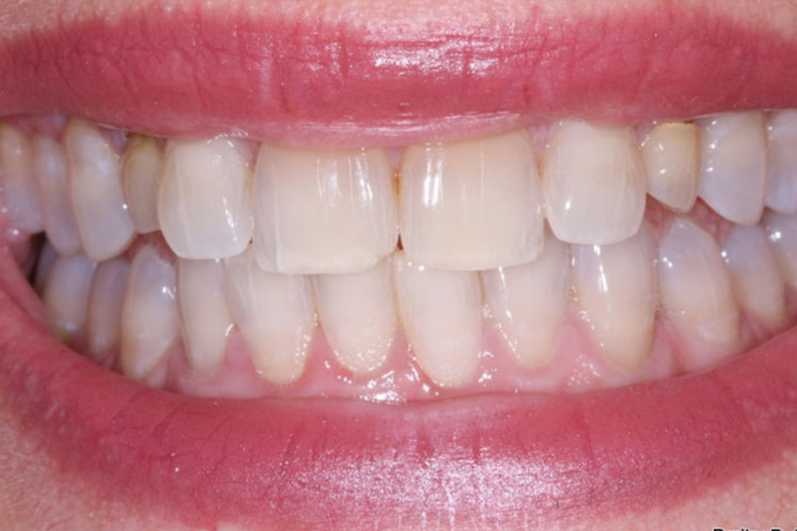
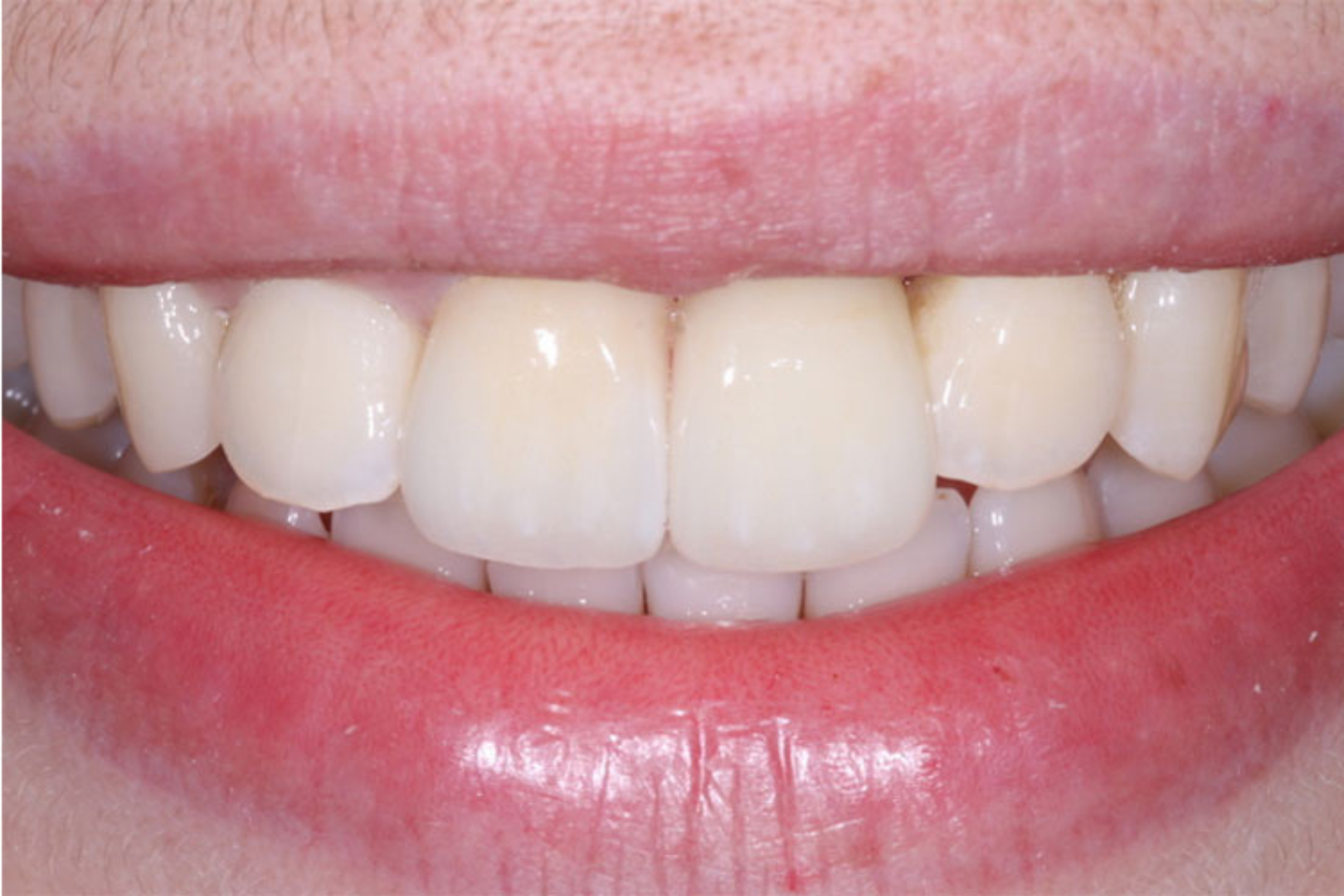
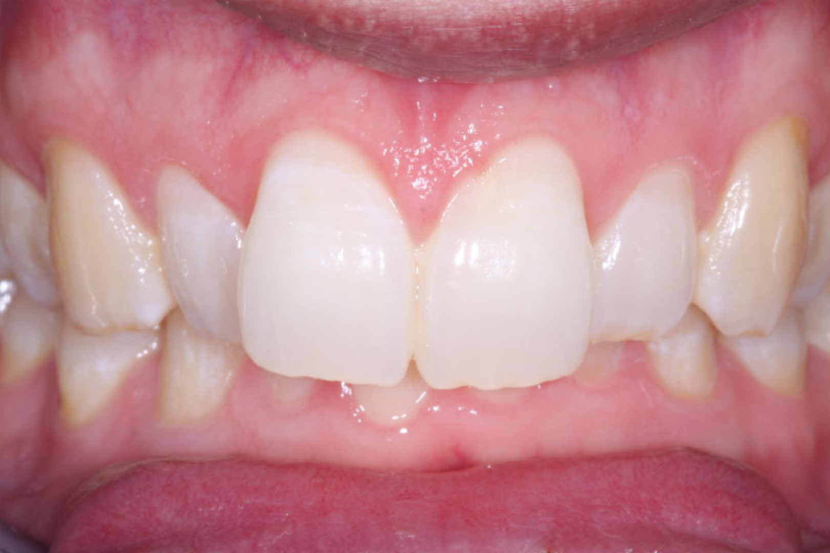
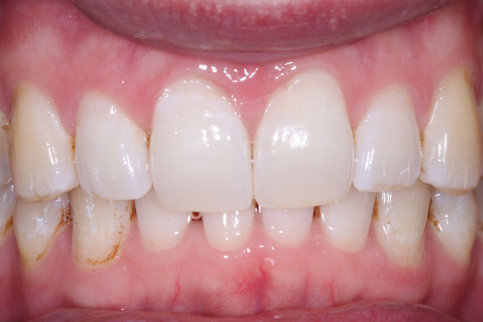
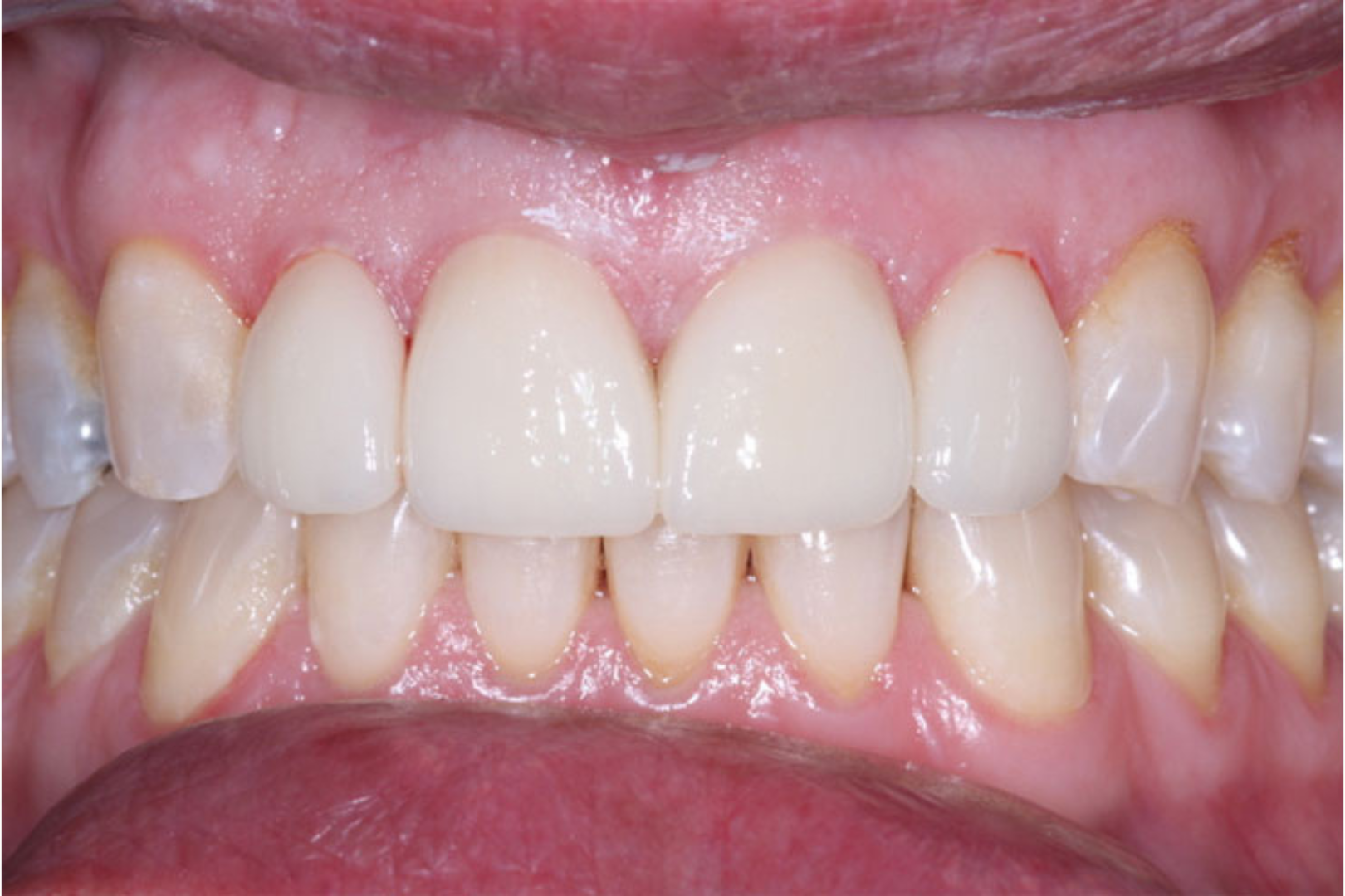
Porcelain Veneers

Dental veneers can fix the appearance of cracked, chipped, stained, or misaligned teeth. Contact us today for a flawless smile. They are thin, porcelain wafers are placed over the surfaces of teeth to address a number of cosmetic issues.
before after
before after
before after
before after
before after
before after
before after

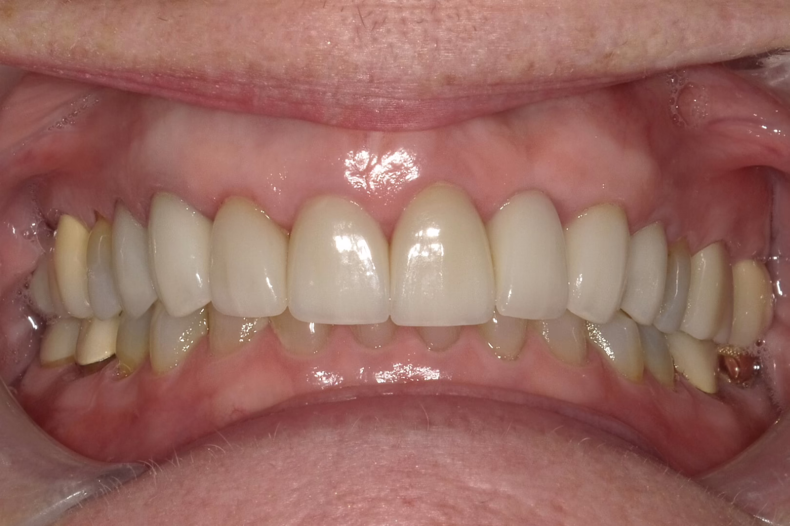
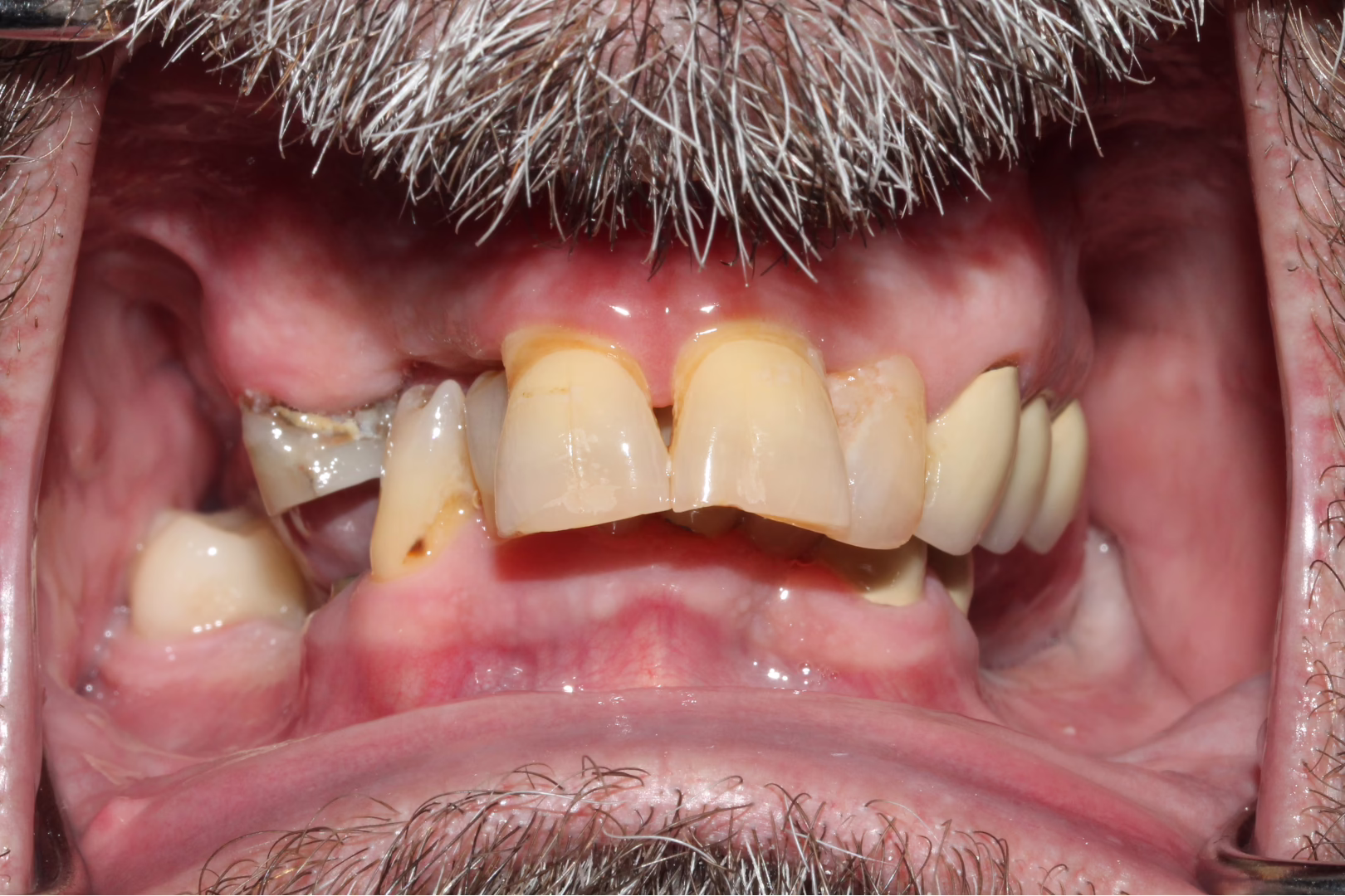
Dental Implants

Dental implant surgery replaces tooth roots with metal, screwlike posts and replaces damaged or missing teeth with artificial teeth that look and function much like real ones.
before after
before after
before after

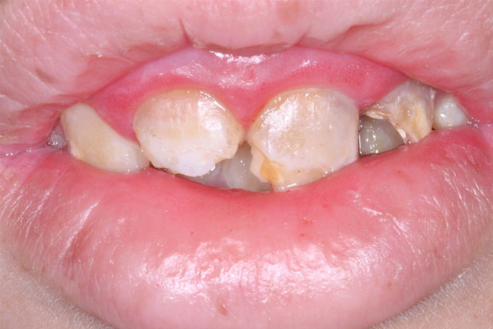
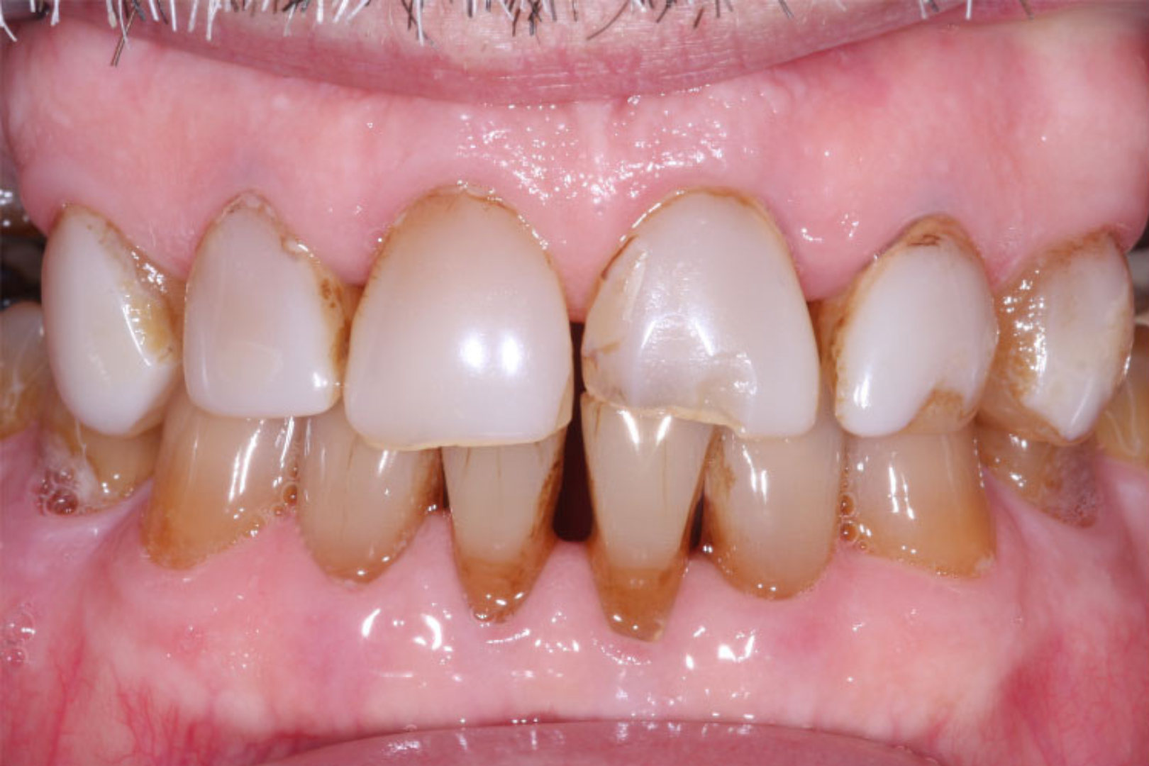
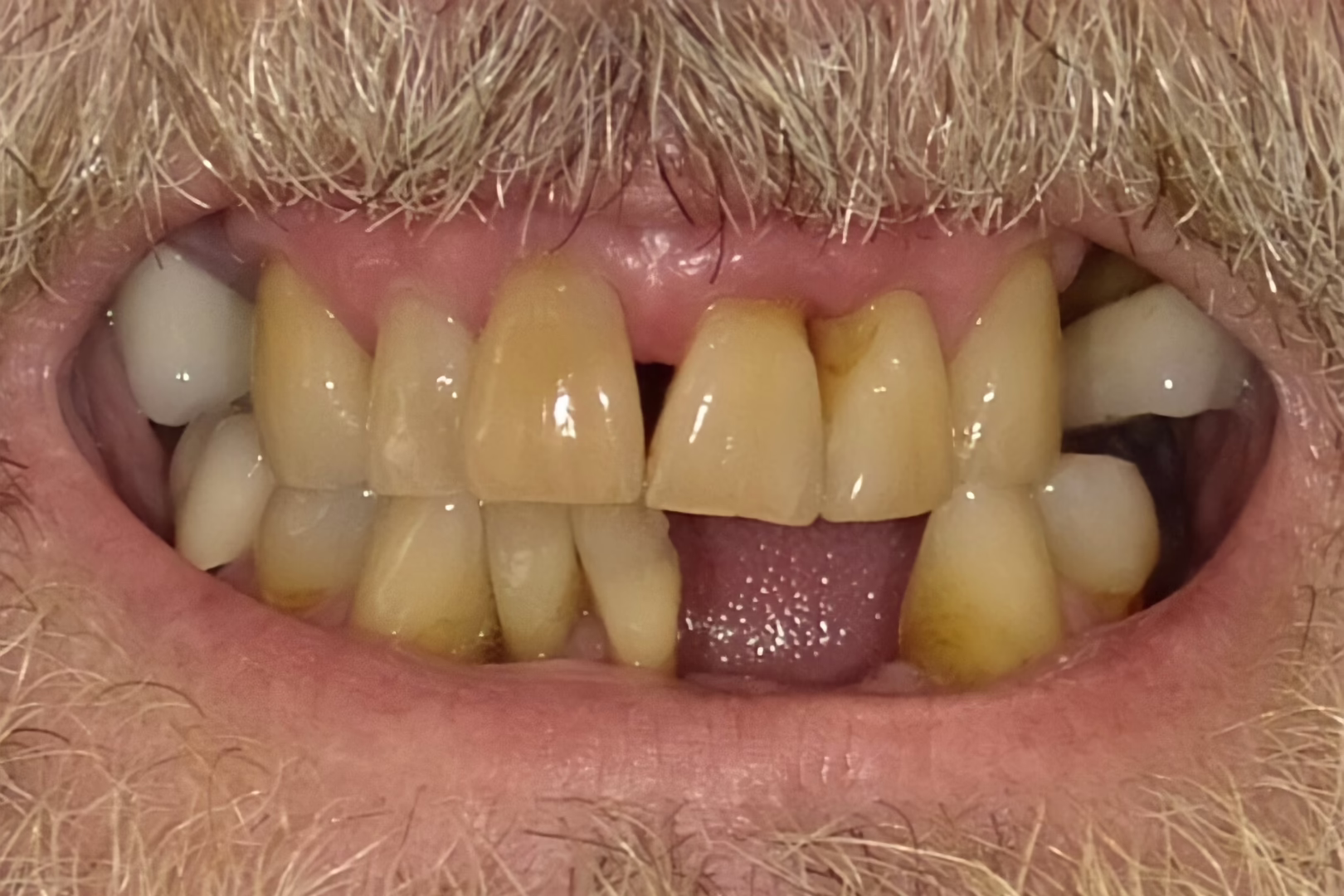
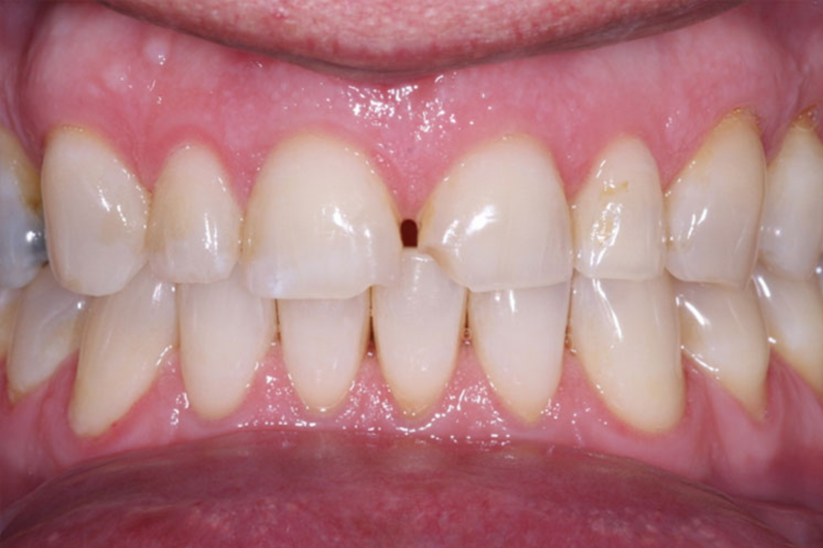
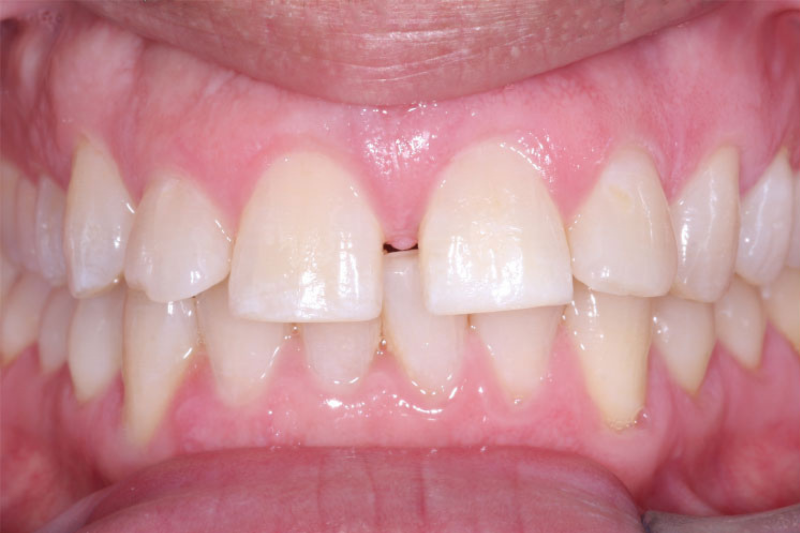
Full Mouth Reconstruction

Full mouth reconstruction is a comprehensive dental treatment that involves restoring and rebuilding the entire mouth to address multiple dental issues and achieve optimal oral health and aesthetics.
before after
before after
before after
before after

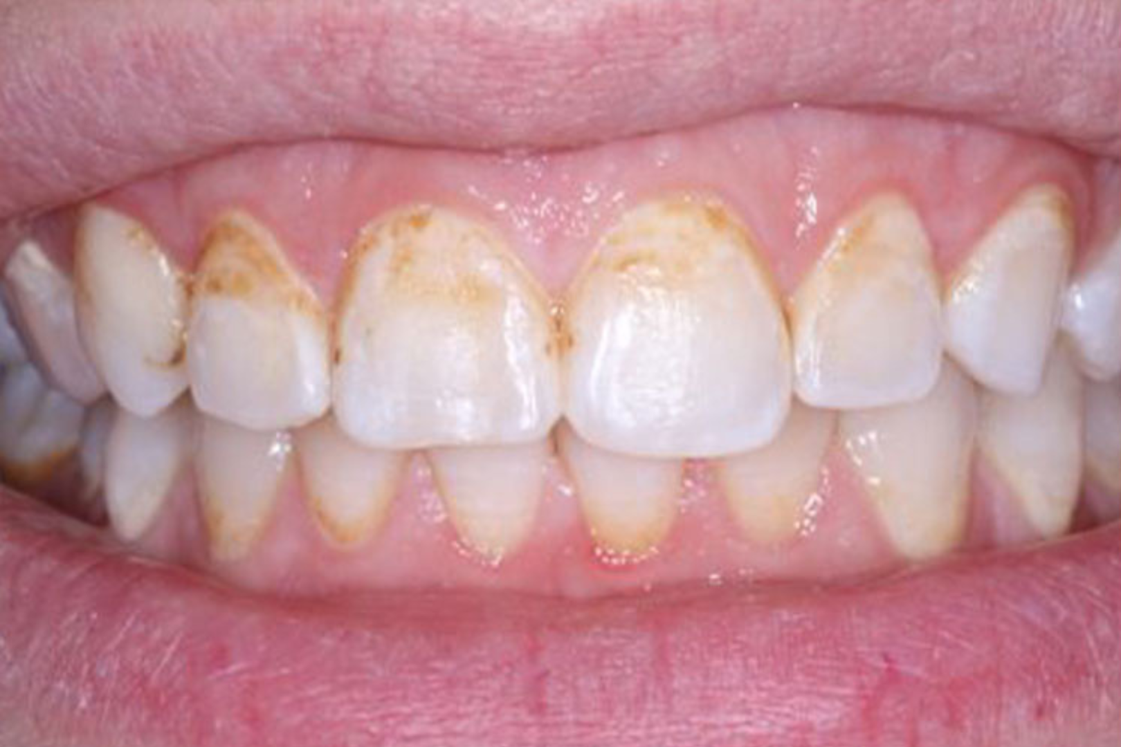
Crowns

Dental crowns are custom-made restorations designed to improve the appearance of misshapen, discolored, or severely stained teeth, helping to create a more natural and aesthetically pleasing smile by covering the visible portion of the tooth with a carefully crafted and color-matched crown.
before after
before after
before after
before after

Dentures

Dentures are removable prosthetic devices used to replace missing teeth and surrounding tissues. They are custom-made to fit the individual's mouth and provide functional and aesthetic benefits for those with tooth loss.
before after
before after

The images displayed in this smile gallery feature real patients from dental practices within the Imagen Dental Partners network. Results may vary based on individual treatment plans.